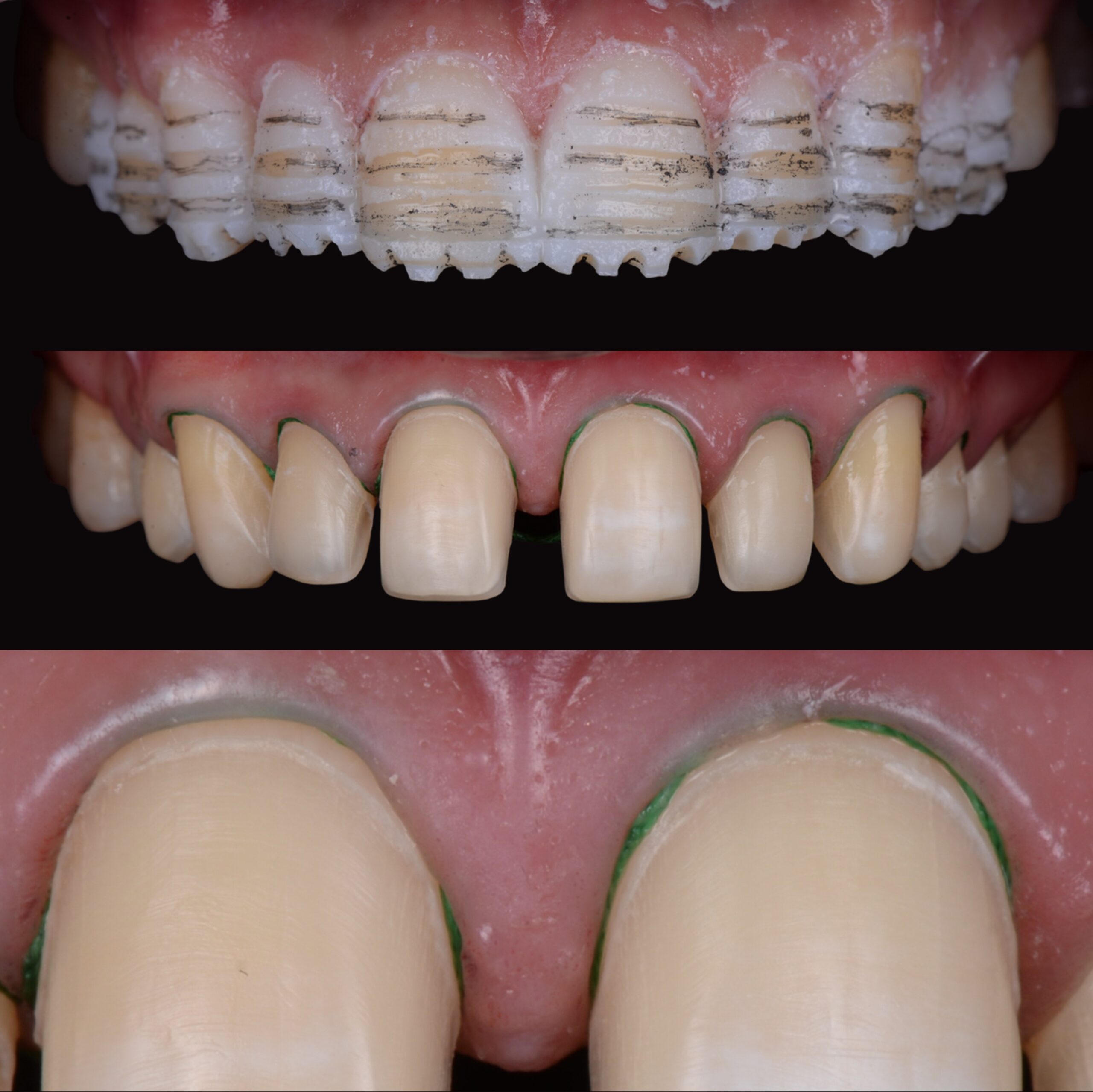
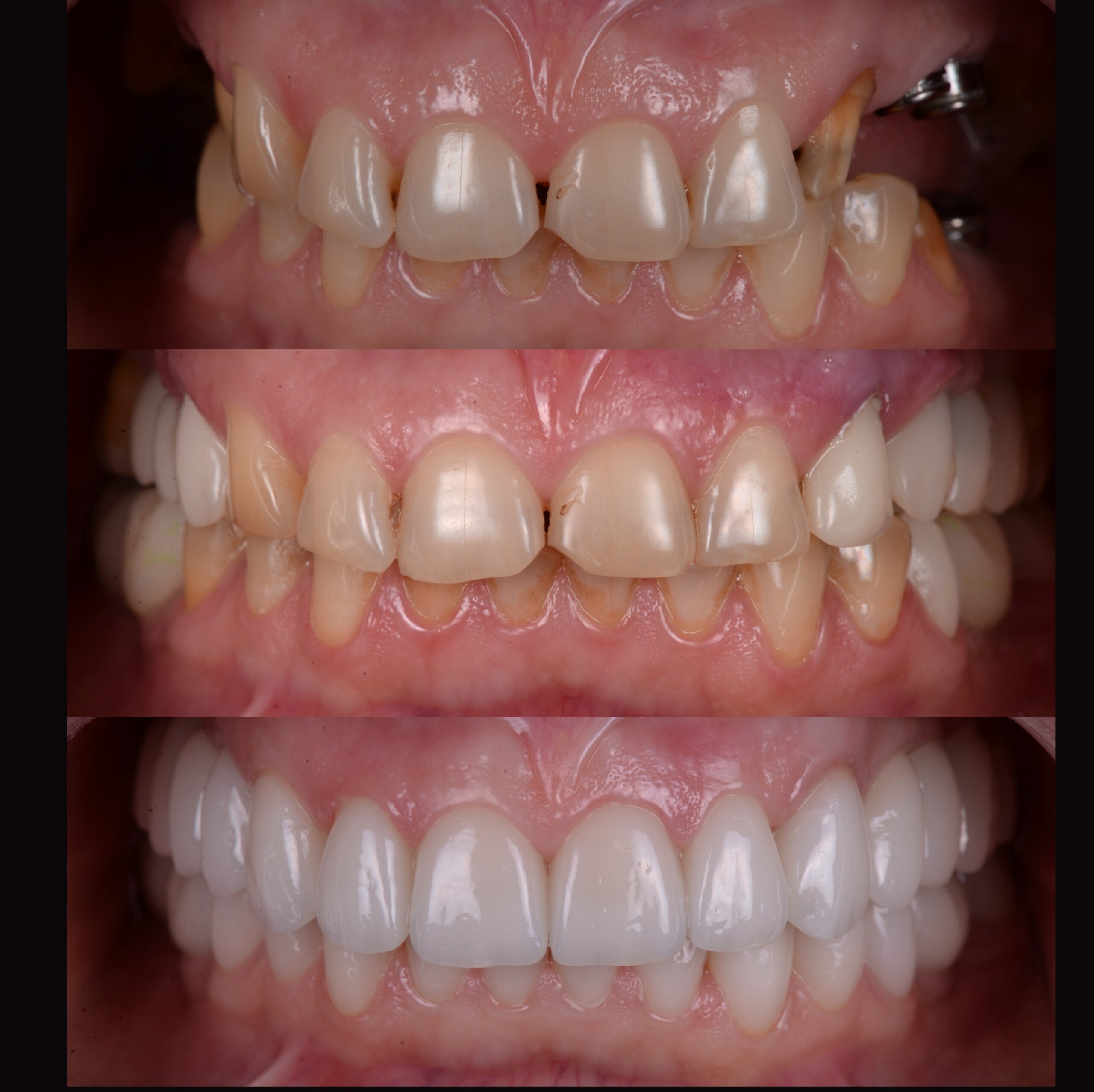
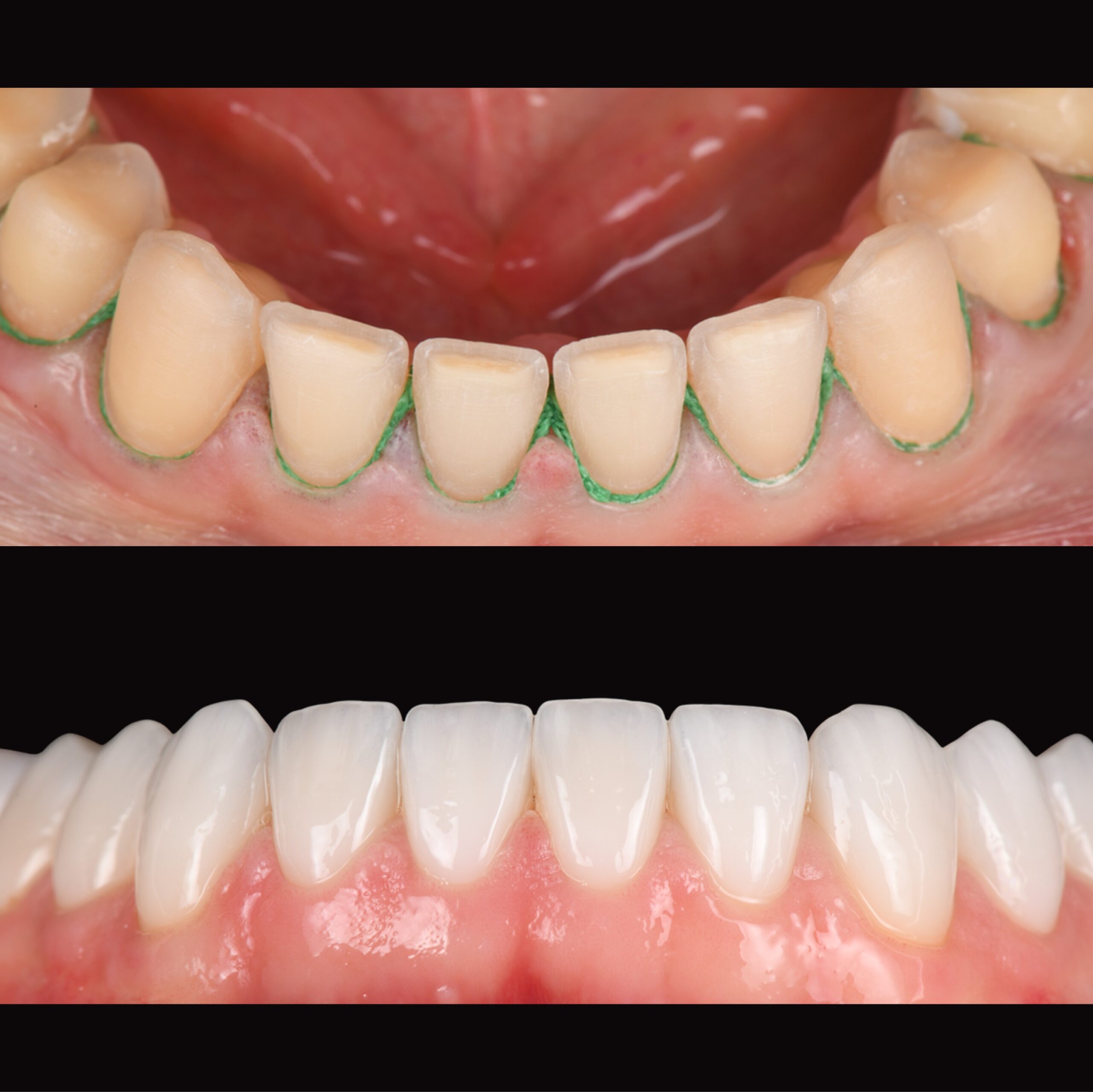
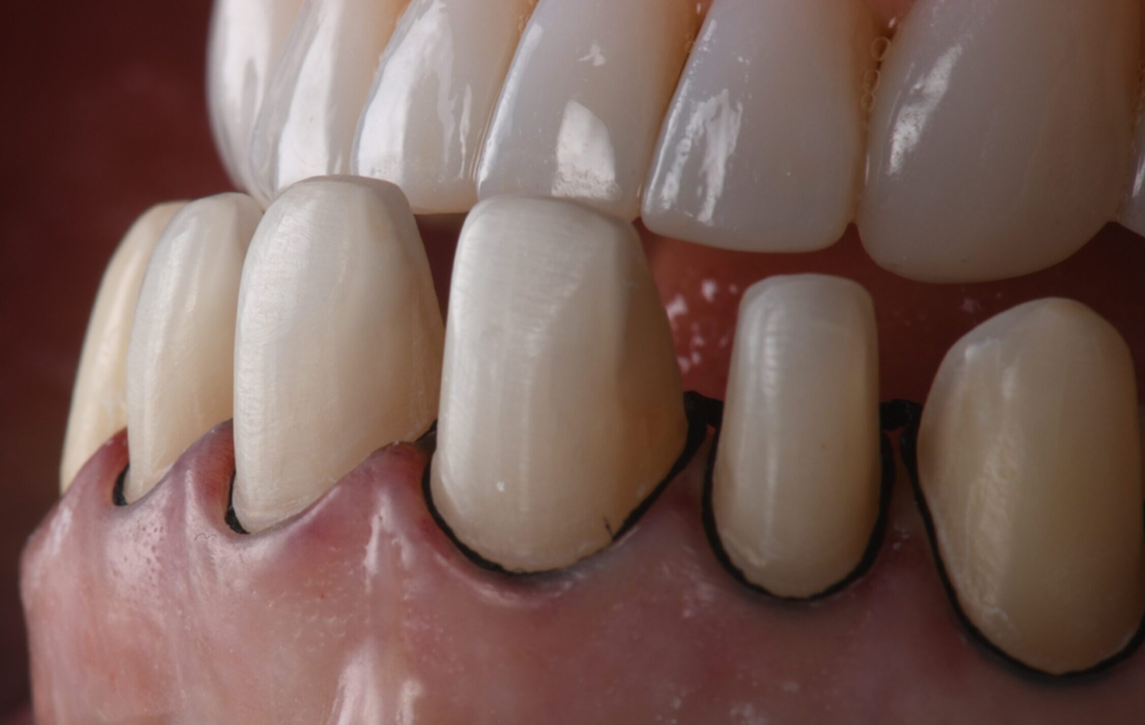
Dr Maxim Belograd is a world-renowned educator and pioneer in microscope-enhanced aesthetic and restorative dentistry. Recognised globally for his precision, artistry and innovative workflows, he has redefined how clinicians approach restorations through magnification and adhesive protocols.
Founder of the Belograd Academy and co-organiser of the MicroVision Group, he has trained thousands of dentists across more than 40 countries. His teaching blends the science of adhesion with the finesse of minimal intervention, empowering clinicians to achieve exceptional aesthetic results with confidence and control.
1) Cancellations more than 31 days before course start date – full refund minus $200 administration fee
2) Cancellations between 15 to 30 days before course start date – 50% refund minus $200 administration fee
3) Cancellations between 0 to 14 days before course start date – no refundWe must be notified in writing of transfer no less than 14 days prior to the event & credits/transfers cannot be refunded at a later date.

