This has been designed for clinicans looking to elevate their expertise in soft tissue tunneling techniques around teeth and implants.
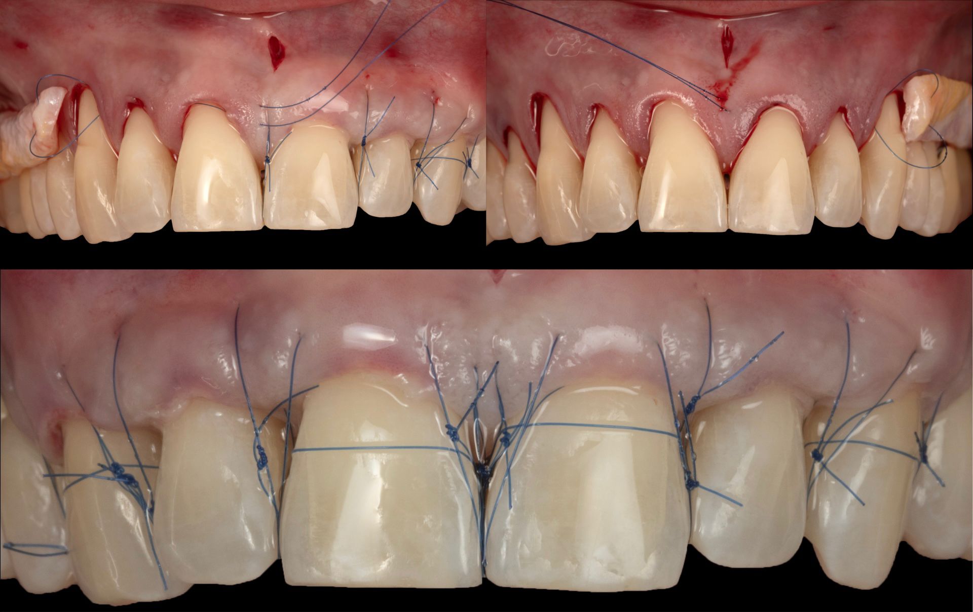
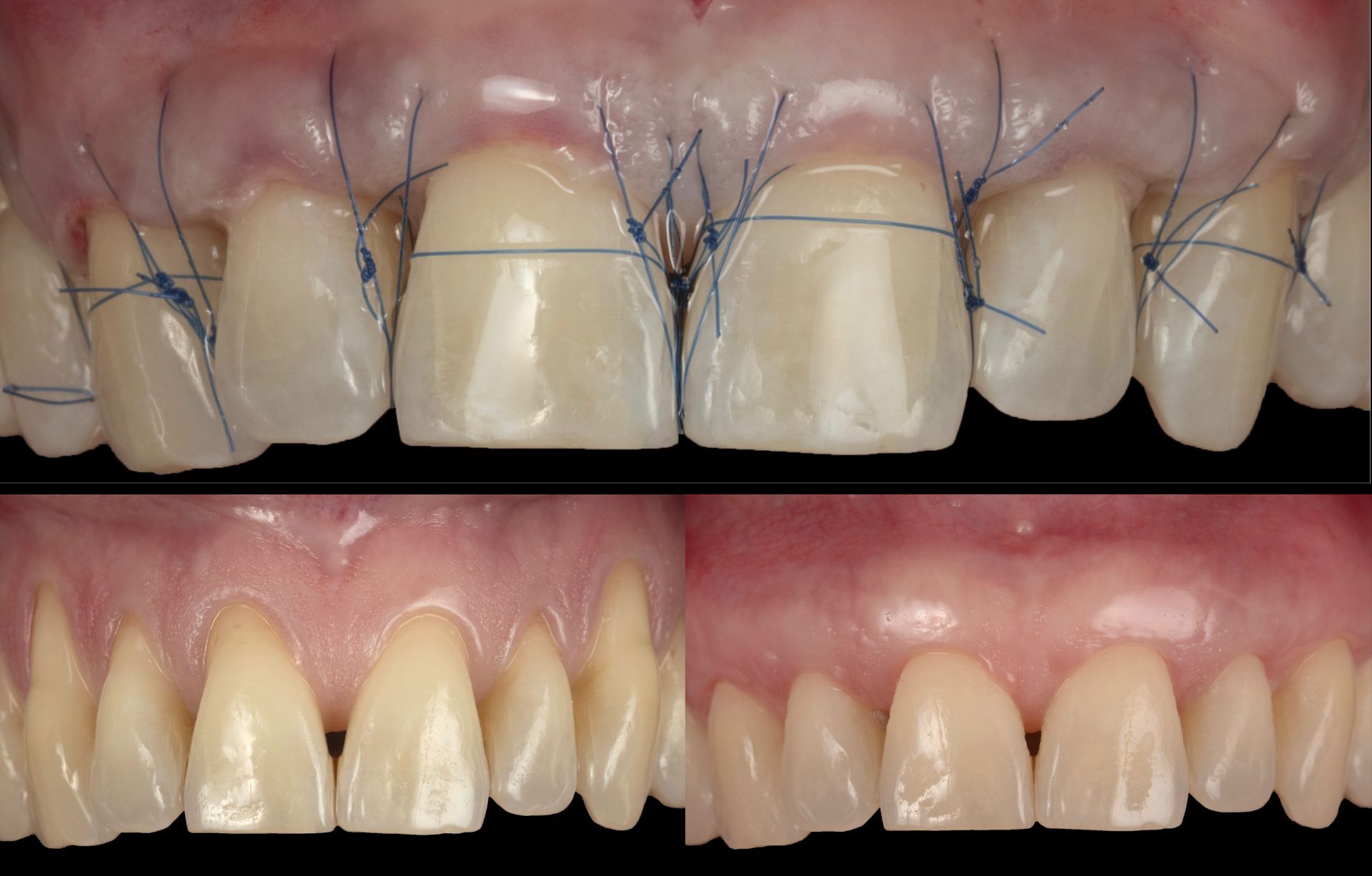
Dr Ronco completed his dental degree and his Master of sciences at the university of paris, before completing postgraduate training in periodontics and implantology from the University of Liège, belgium. He maintains a practice limited to periodontics and implantology in Paris, france. He has notably developed an innovative suture technique named belt & suspenders, and the micrografting concept.
Master the art of tunnelling. from foundational principles to the latest multilayer and micrografting trends for predictable recession management.
Led by an internationally recognised expert in periodontology and implantology, this master class blends theory and practice to deliver real-world clinical impact.
Post-bonebuilding Soft Tissue Management:
Avoiding Bone Augmentation Through Gingival Augmentation:
1) Cancellations more than 31 days before course start date – full refund minus $200 administration fee
2) Cancellations between 15 to 30 days before course start date – 50% refund minus $200 administration fee
3) Cancellations between 0 to 14 days before course start date – no refundWe must be notified in writing of transfer no less than 14 days prior to the event & credits/transfers cannot be refunded at a later date.

